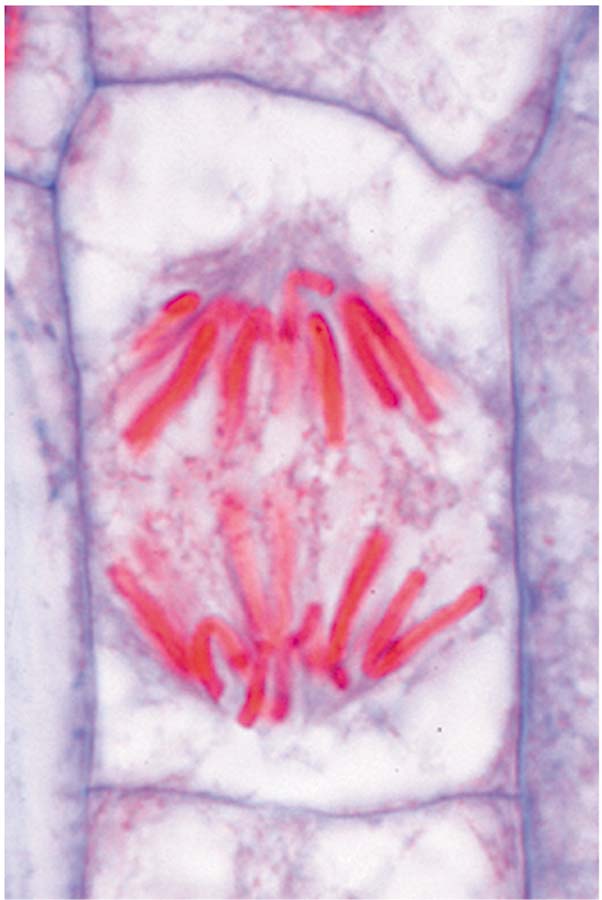
1. Zellteilungen (Mitosen). Wurzelspitzen von Allium, Küchenzwiebeln, längs. Alle Teilungsstadien. Färbung mit Eisenhämatoxylin – 2. Chromosomen des Menschen im Metaphase-Stadium, ausgebreitet und einzeln identifizierbar –
3. Entwicklung des Seeigels, verschiedene Stadien im Streupräparat – 4. Uterus quer: Eizellen mit männlichem und weiblichem Vorkern – 5. Hoden vom Kaninchen, quer – 6. Schraubenalge, in Konjugation und Bildung vom Zygoten
Multimedia-Lehrerpaket
6 Mikropräparate im Plastikkasten,
3 farbige Overhead Transparente,
6 Arbeits- und Zeichenblätter als Kopiervorlagen, Textheft mit Erläuterungen, Aufbewahrungskarton
Multimedia-Schülerpaket
6 Mikropräparate im Plastikkasten, Textheft mit Erläuterungen, Aufbewahrungskarton.





